Îngrijire dentară modernă pentru zâmbetul tău
La clinica stomatologică Kadent din București, găsești un dentist dedicat și o echipă de profesioniști pregătiți să îți ofere îngrijire dentară completă: de la consultație și igienizare profesională, până la tratamente complexe. Te așteptăm într-un cabinet modern, sigur și prietenos.
Consultație stomatologică – 50 lei
Prima vizită include evaluarea completă a danturii și stabilirea unui plan de tratament adaptat nevoilor tale.
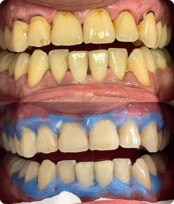
Igienizare profesională – 250 lei
Detartraj și periaj profesional. Preț redus de la 350 lei.
